GPS Academy/Inclinometro - Spine Path

  • Gratis

Inclinometro - Spine Path

  • Corso
  • 5 Lezioni

L’inclinometro di D’Osualdo è uno strumento originale che riunisce due importanti funzioni: la misurazione del gibbo (angolo di rotazione del tronco in anteroflessione) nel paziente affetto da scoliosi e la misurazione dell’angolo di Cobb sulle radiografie; in questo caso può essere utilizzato sia nelle curve sul piano frontale (scoliosi) sia nelle curve sul piano sagittale (cifosi e lordosi).

5

Numero di lezioni incluse

7 min

Durata totale del corso

Primo livello

Livello del corso

Cosa imparerai

Nella misurazione sul paziente – posizione standard con paziente con ginocchia estese, tronco flesso, braccia abbandonate in avanti – lo strumento viene appoggiato delicatamente al dorso, l’asta viene quindi ruotata fino a metterla in bolla; il grado di inclinazione può essere letto immediatamente o anche rimuovendo lo strumento dal dorso (mantenendo ferma l’asta tra il pollice e l’indice). Scorrendo lungo il dorso, dal tratto toracico a quello lombare si può identificare il/i tratti più ruotati e registrarne il livello.

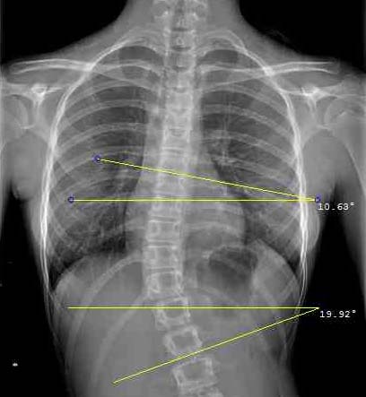
Nella misurazione delle radiografie il bordo dello strumento viene accostato al bordo della vertebra limite superiore della curva, l’asta viene quindi ruotata fino a metterla in bolla; il grado di inclinazione viene letto sulla scala goniometrica; l’operazione viene quindi ripetuta per la vertebra limite inferiore. L’angolo di Cobb è dato dalla somma degli angoli di inclinazione delle due vertebre limite.

L’inclinometro è utile anche per la precisa identificazione sulla radiografia delle vertebre limite che sono appunto le più inclinate. 

Approfondimento

L'inclinometro e l'angolo di Cobb

L’inclinometro è molto utile per individuare rapidamente sulla radiografia le vertebre più inclinate.

Descrizione

L’esame clinico della colonna, oltre alla osservazione e alcune piccole manovre, può essere arricchito da una serie di misurazioni con strumenti manuali, non invasivi.

Questi strumenti non sostituiranno mai le radiografie per il semplice fatto che misurare la superficie del dorso non coincide con il misurare la colonna. Tuttavia essi ci forniscono informazioni preziose come l'identificazione di un range di normalità e di un valore soglia, ma soprattutto ci permettono di individuare con precisione i cambiamenti nel tempo.

L’abitudine all’utilizzo di questi strumenti rende eccellente la ripetibilità delle misurazioni; l’assenza totale di invasività permette di effettuare tutti i controlli necessari senza limiti.
L’inclinometro è composto da un elemento quasi-rettangolare di plexiglas, recante una scala goniometrica, al cui centro è fissata una piccola asta libera di ruotare attorno allo stesso centro e recante una bolla; l’estremità libera dell’asta reca l’indice di lettura per la scala goniometrica; il lato più lungo del rettangolo presenta una rientranza per renderne più agevole l’applicazione sul paziente (in caso di spinose sporgenti).

Docenti

Dottor

Flavio D'Osualdo

Medico specialista in Neurologia e Medicina Fisica e Riabilitazione

Responsabile del servizio di Riabilitazione Patologie ad Esordio Infantile - Ospedale di riabilitazione IMFR “Gervasutta”, Udine – Italia

Responsabile del progetto Spine-Path e coordinatore del gruppo di lavoro

Dott.ssa

Arianna Michelutti

Medico specialista in Medicina Fisica e Riabilitazione

La Nostra Famiglia, I.R.C.C.S. E. Medea, Pasian di Prato e S.Vito

Vice responsabile del progetto Spine-Path

A chi è rivolto il Corso?

Il percorso che proponiamo è aperto a tutte le persone che vogliono approfondire il tema della scoliosi per motivi di studio, per semplice curiosità o anche perché in qualche modo coinvolti nel problema.

Tuttavia si sottolinea che l’utilizzo clinico, come supporto alla diagnosi, è di esclusiva pertinenza del medico. La diagnosi infatti è sempre il risultato di una valutazione complessa che tiene conto di una serie di elementi anamnestici, clinici e strumentali che solo un medico può valutare.

Contenuti

Inclinometro

Lezione 1 - Presentazione iniziale
Lezione 2 - Come si utilizza
Lezione 3 - Due rischi da evitare
Lezione 4 - Punti di forza dello strumento
Lezione 5 - Direttamente sulla radiografia

RIMANI AGGIORNATO!

ISCRIVITI ALLA NOSTRA NEWSLETTER

Riceverai aggiornamenti periodici sulle nostre attività e sulle opportunità di formazione.
Entra subito a far parte della comunità di GPS Academy!

Ti stai iscrivendo per ricevere aggiornamenti periodici dalla GPS Academy

Testimonials

Il corso mi sembra un'ottima iniziativa ed il formato lo vedo bene. Molto importanti le diapositive di supporto dei concetti espressi e delle muscolature menzionate.

Massimiliano Scerra (Rep. Dominicana)

Ottima idea. È molto utile.

Dr. Bogdan Ambrožič (Slovenia)

GPS Academy®

"Più Informazione, Migliore Riabilitazione"
in collaborazione con Chinesport Spa – Italy