Radiografia

Quando ricorrere alle radiografie

LA RICHIESTA DELLA RADIOGRAFIA
Una accurata selezione dei casi permette di contenere il ricorso alle radiografie, nello stesso tempo minimizzando il rischio di perdere dei casi che richiederebbero un trattamento.

Quando i criteri lo richiedono, la radiografia dovrebbe essere richiesta dal professionista che è effettivamente in grado di gestirla.

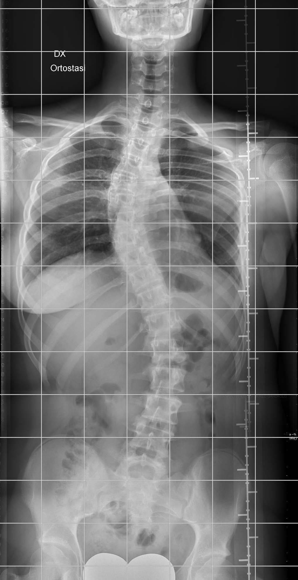
In proiezione postero-anteriore, va effettuata a soggetto in piedi con le gonadi protette. È raccomandata l’esecuzione presso una radiologia con disponibilità di apparecchiature dedicate.

L’utilità di una radiografia in proiezione laterale è oggetto di discussione: raccomandata in molte linee guida nella prima valutazione o in caso di evidenza clinica di una alterazione del profilo del rachide sul piano sagittale, come il dorso piatto, o di dolore, negli altri casi probabilmente non aggiunge informazioni utili.
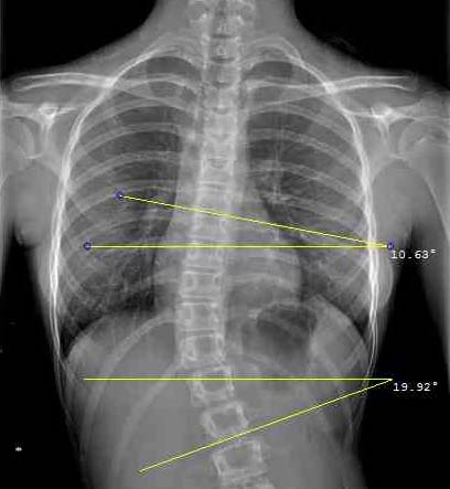
L'ANGOLO DI COBB
L’angolo di Cobb è l’angolo compreso tra le tangenti superiore e inferiore delle vertebre limite della curva (le più inclinate). L’inclinometro è molto utile per individuare rapidamente sulla radiografia le vertebre più inclinate.

Sulla radiografia tradizionale l’angolo può essere costruito con matita e righello e misurato con un goniometro. Più semplicemente può essere calcolato con l’inclinometro accostando lo strumento al bordo delle vertebre limite, superiore e inferiore, e sommando l’inclinazione delle due vertebre.

Sul PC l’angolo di Cobb viene pure calcolato sommando l’inclinazione delle vertebre limite rispetto l’orizzontale, utilizzando gli strumenti presenti nel dischetto.

Quando il bordo vertebrale non è identificabile con precisione può essere utilizzata come riferimento la linea tangente ai due peduncoli.
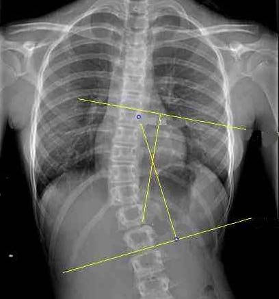
LA ROTAZIONE VERTEBRALE
La torsione delle colonna sul proprio asse è uno degli elementi caratteristici della scoliosi vera. Il termine rotazione vertebrale esprime il grado di torsione della vertebra apicale di una curva, generalmente la vertebra più ruotata.

Sono stati descritti diversi metodi per esprimere la rotazione vertebrale, i più comuni fanno riferimento alla posizione dei peduncoli, più o meno asimmetrici, ricordiamo in particolare il metodo di Nash & Moe, il metodo di Perdriolle e il metodo di Raimondi.
IL GRADO RISSER
Il grado di Risser descrive una fase della maturità scheletrica basata sull'osservazione dello stadio di ossificazione della cresta iliaca. Il processo di ossificazione inizia dalla porzione più laterale dell'apofisi iliaca e prosegue fino alla completa fusione dell'intera cresta iliaca.

Sebbene il grado di Risser sia ancora ampiamente utilizzato dai clinici, tale strumento diagnostico non fornisce alcuna informazione sulle fasi iniziali dello sviluppo. Il centro di ossificazione, infatti, si osserva inizialmente verso la fine del picco di crescita.
LA RADIOGRAFIA DELLA MANO
La radiografia della mano permette di definire l’età ossea con un margine di errore di circa 6 mesi. Per la datazione si fa riferimento solitamente all’atlante di Greulich e Pile che prende in considerazione sia l’aspetto delle cartilagini di accrescimento sia la forma e la dimensione dei vari ossicini del polso e della mano.

In mancanza di sicuri dati sulla curva di crescita la radiografia della mano può essere uno strumento molto utile nella scelta se avviare o no un trattamento e anche se o no una radiografia del rachide. Può anche aiutare a orientarsi nel caso di dati discordanti relativi alla fase di sviluppo: es. crescita in frenata e assenza del menarca.